Ung thư đại tràng là một trong những ung thư thường gặp hiện nay. Tại Việt Nam năm 2020, ung thư đại tràng cùng với ung thư trực tràng đứng hàng thứ 5 về số lượng những ca mắc.
|
|
|
Tránh ung thư nhờ sống lành mạnh
Bác sĩ CKII Lâm Quốc Trung, Quản lý và Điều hành Khoa Hóa trị ung thư Bệnh viện Đại học Y Dược TPHCM cho hay, ung thư đại tràng là u xuất hiện ở phần ruột già nằm trong bụng của cơ thể chúng ta, có khả năng phát triển tại chỗ, xâm lấn ra các cơ quan xung quanh hoặc di căn đến các cơ quan ở xa khác.
Loại ung thư này thường gặp ở độ tuổi 50 trở lên, có thể gặp ở cả nam giới và phụ nữ. Hiện nay ung thư đại tràng đang có sự trẻ hoá đối tượng mắc do liên quan tới chế độ ăn, lối sống, yếu tố gia đình...
Ung thư đại tràng khi mắc bệnh nhân sẽ có các triệu chứng như: đau tức hậu môn, đau tức vùng bụng, đi ngoài phân nhầy có máu, đi ngoài nhiều lần/ngày, cảm giác mót rặn, cảm giác đi ngoài không hết phân, khuôn phân thay đổi nhỏ dẹt, rối loạn tiêu hoá như táo bón, đi ngoài phân lỏng…
Rối loạn tiêu hoá khi mắc ung thư đại tràng thường kéo dài và triệu chứng sẽ ngày một tăng nặng. Do vậy, nếu người dân có triệu chứng rối loạn tiêu hoá trên 2 tuần thì nên đi khám sớm để loại trừ nguy cơ ung thư.
Theo bác sĩ Trung, đến nay, điều trị ung thư đại tràng với 2 vũ khí chính:
Một là phẫu thuật cho giai đoạn bướu còn khu trú
Hai là mổ và kết hợp thêm hóa trị hỗ trợ nhằm tiêu diệt các tế bào ung thư còn sót lại hoặc bướu đang tiến triển tại chỗ hay đã di căn xa.
Bác sĩ Trung đang tư vấn và khám cho bệnh nhân.
Hiện nay, ngoài các vũ khí trên, bệnh nhân giai đoạn di căn có thể sử dụng thêm các thuốc thế hệ mới khi kết hợp với thuốc hóa trị. Điều này đã giúp cải thiện thời gian sống còn của bệnh nhân giai đoạn di căn từ khoảng 11 – 12 tháng trong quá khứ đến gần 36 tháng (3 năm). Một trong những loại thuốc thế hệ mới phải kể đến chính là các thuốc nhắm trúng đích.
Trong điều trị ung thư đại tràng hiện nay, 2 thuốc nhắm trúng đích tiêu biểu là thuốc tác dụng trên đích phân tử EGFR (Epidermal Growth Factor Receptor – Thụ thể yếu tố tăng trưởng biểu bì) như Cetuximab và đích phân tử VEGF (Vascular endothelial growth factor – Yếu tố tăng sinh biểu mô mạch máu) như Bevacizumab. Hiệu quả cải thiện sống còn của 2 loại thuốc này lên sống còn đã được chứng minh qua các nghiên cứu lớn.
Tuy nhiên cần lưu ý, không phải bệnh nhân nào cũng có thể sử dụng Certuximab. Để sử dụng thuốc này, bệnh nhân cần phải được xét nghiệm thuộc nhóm có đột biến các gen RAS hay không. Vì nghiên cứu cho thấy, Cetuximab chỉ có hiệu quả ở những bệnh nhân không có đột biến các gen này.

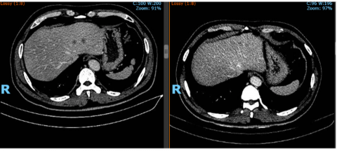
Bệnh nhân nam 58 tuổi, được chẩn đoán: Ung thư đại tràng di căn gan đa ổ đáp ứng
sau hóa trị phác đồ thuốc 6 tháng (các tổn thương di căn gan giảm kích thước
và số lượng sau hóa trị).
"Điều trị ung thư đại tràng hiện nay đã có nhiều tiến bộ, không chỉ ở phương pháp phẫu thuật ít xâm lấn hơn trước mà còn có những thế hệ thuốc mới như thuốc nhắm trúng đích không chỉ mang lại kết quả điều trị tốt hơn cho người bệnh, cải thiện được thời gian sống còn của người bệnh mà còn ít tác dụng phụ so với hóa trị.
Việc chỉ định sử dụng thuốc nào, liều lượng và số chu kỳ sử dụng sẽ do các bác sĩ hóa trị ung thư quyết định dựa trên nhiều yếu tố như thể trạng của người bệnh, giai đoạn bệnh, đặc điểm của bướu, các bệnh nội khoa kèm theo, khả năng tài chính.
Lựa chọn điều trị tốt nhất là kết quả được đưa ra sau cuộc thảo luận giữa bác sĩ và bệnh nhân, dựa trên những yếu tố trên và mong muốn của từng người bệnh. Mong rằng trong tương lai, sẽ có thêm nhiều tiến bộ mới trong điều trị ung thư đại tràng nói riêng và ung thư nói chung để bệnh ung thư không còn là nỗi đáng sợ", bác sĩ Trung nói.
Chuyên gia khuyến cáo ung thư đại trực tràng có thể phòng tránh được thông qua thói quen ăn uống lành mạnh.
- Hạn chế ăn quá nhiều các loại thịt đỏ, đồ chiên, nướng
- Tăng cường ăn rau xanh, hoa quả tươi, thực phẩm giàu chất xơ sẽ tốt cho đại trực tràng.
- Hạn chế các loại nước uống chứa cồn, rượu bia, thuốc lá để giảm nguy cơ ung thư đại trực tràng.
- Hoạt động thể lực, vận động hay luyện tập thể dục sẽ làm giảm nguy cơ mắc ung thư đại trực tràng.
Nguồn: http://toquoc.vn/trieu-chung-de-nhan-biet-cua-ung-thu-dai-trang-mac-tren-2-tuan-phai-di-kham-ngay-ke..
Clip đang được xem nhiều nhất: Clip: Kinh hoàng cảnh kính cường lực vỡ thành trăm mảnh, đổ ập lên người bé trai
Bộ Y tế khuyến cáo phòng, chống ảnh hưởng của ô nhiễm không khí tới sức khỏe
Gần 20% người trưởng thành Việt Nam bị thừa cân, béo phì? Đâu là nguyên do
Nga tuyên bố triển khai trực chiến trung đoàn 'độc nhất vô nhị' S-500
Vụ ngộ độc bánh mì ở Quảng Ngãi: 146 người nhập viện và điều trị
Hà Nội chi hơn 574 tỷ đồng tặng quà người có công dịp Tết Nguyên đán Bính Ngọ
Ông Johnathan Hạnh Nguyễn được đề nghị tặng danh hiệu Anh hùng Lao động
-
Hà Nội: Người bị thu hồi đất được ưu tiên mua nhà ở xã hội không cần bốc thăm
-
Cảnh sát giao thông mở cao điểm, kiểm tra nồng độ cồn dịp Tết Nguyên đán Bính Ngọ
-
Chậm cấp bằng, Đại học Kinh tế Quốc dân phải bồi thường cho cựu sinh viên 87 triệu đồng
-
Khởi tố đối tượng lái ô tô tông chết người ở Tây Ninh
-
Xe kinh doanh vận tải không bắt buộc phải lắp ghế an toàn cho trẻ em
-
Bắt “tổng tài” chỉ đạo đánh nhân viên quán cà phê vì bị nhắc cấm hút thuốc
-
Chỉ đạo mới của TP.HCM sau vụ cháy 4 người tử vong
-
Bộ Y tế khuyến cáo phòng, chống ảnh hưởng của ô nhiễm không khí tới sức khỏe