Ít ai nghĩ rằng, ở người nghiện rượu, viêm phổi lại là một nguy cơ gây tử vong hàng đầu với những diễn biến hết sức nặng nề và nhanh chóng.
|
Viêm phổi lại là một nguy cơ gây tử vong hàng đầu ở người nghiện rượu |
Từ lâu, việc lạm dụng rượu đã được cho là một yếu tố nguy cơ cao đối với viêm phổi. Các số liệu thống kê cho thấy, ở người nghiện rượu, khả năng bị viêm phổi cao hơn từ 3 - 4 lần so với người không nghiện rượu. Thêm vào đó, viêm phổi ở người nghiện rượu thường nặng hơn, diễn biến nhanh hơn, tỷ lệ phải nhập viện cao hơn, thời gian điều trị dài hơn và tỷ lệ tử vong cao hơn viêm phổi ở người không nghiện rượu tới trên 20%! Còn nếu như ở người nghiện rượu đã bị xơ gan cổ trướng giai đoạn cuối bị viêm phổi thì cơ hội sống chỉ còn vào khoảng 30% hoặc thậm chí thấp hơn.
Ngoài những vi khuẩn gây viêm phổi ở người bình thường, người nghiện rượu còn có nguy cơ rất cao bị nhiễm các loại vi khuẩn như Klebsiella pneumoniae, Streptococcus pneumoniae và trực khuẩn lao (Mycobacteryum tuberculosis). Một nghiên cứu đã cho thấy tỷ lệ tử vong do viêm phổi ở người nghiện rượu có nguyên nhân do các vi khuẩn kể trên lên tới 83%.
Tại sao người nghiện rượu lại dễ bị viêm phổi?
Có một số nguyên nhân khiến cho người nghiện rượu dễ bị viêm phổi, đầu tiên là sự thay đổi về các chủng vi khuẩn sống ở vùng hầu họng. Ở người bình thường cũng có một số chủng vi khuẩn sinh sống tại vùng này và chúng rất ít có khả năng gây bệnh. Ở người nghiện rượu có sự gia tăng một số loại vi khuẩn gram âm như K.pneumoniae và đây là những loại vi khuẩn có độc tính cao dễ gây viêm phổi. Bên cạnh đó, người nghiện rượu khả năng ho khạc kém (do rượu cũng là một chất an thần gây ngủ) nên phổi bị ứ đọng đờm dãi nhiều. Thứ ba là sự trào ngược dịch vị từ dạ dày lên thực quản và vào phổi hay xảy ra ở người nghiện rượu. Những dịch này mang theo vi khuẩn từ ruột lên (do uống rượu thường xuyên nên pH của dịch vị đã giảm hoặc mất khả năng diệt vi khuẩn từ phía ruột trào lên) cộng với acid dịch vị vào đường hô hấp gây viêm phổi. Người ta cũng thấy nhu động của lớp niêm dịch đường hô hấp hoạt động rất kém và như vậy rất khó khăn trong việc đẩy các chất tiết cũng như vi khuẩn ra khỏi phế nang và các tiểu phế quản ra ngoài. Thêm nữa, khi vi khuẩn đã xâm nhập đến phổi thì hệ miễn dịch ở người nghiện rượu (bao gồm các đại thực bào, các tế bào bạch cầu...) lại hoạt động rất yếu trong việc ngăn chặn vi khuẩn nhân lên và gây bệnh và cuối cùng là tình trạng vệ sinh kém (như vệ sinh răng miệng...); hút thuốc lá kèm khi uống rượu; tình trạng suy dinh dưỡng; các bệnh toàn thân do rượu là những yếu tố phối hợp góp phần làm tăng khả năng viêm phổi ở người nghiện rượu.

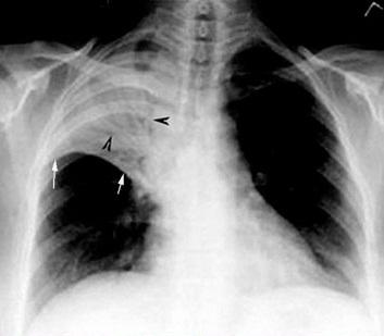
Tổn thương phổi trên phim Xquang.
Biểu hiện của viêm phổi ở người nghiện rượu
Các biểu hiện của viêm phổi ở người nghiện rượu về cơ bản cũng giống như viêm phổi ở người bình thường như sốt, ho (có đờm hoặc không), có cơn rét run, đau ngực, khó thở, đau đầu, nôn, tiêu chảy, mệt mỏi, đau cơ, ý thức chậm. Khám lâm sàng có thể thấy nhịp thở nhanh, mạch nhanh. Khám phổi thấy rì rào phế nang giảm, tiếng cọ màng phổi, tiếng ran rít, ẩm, nổ, ngáy. Chụp Xquang lồng ngực thấy có tổn thương thành đám, ổ hoặc tổn thương cả thùy phổi. Tuy vậy, trong rất nhiều trường hợp, các triệu chứng của viêm phổi ở người nghiện rượu thường rất kín đáo do bệnh nhân thường xuyên say xỉn và hoạt động của hệ miễn dịch kém nên các biểu hiện như đau ngực, sốt... không xuất hiện rầm rộ. Người bệnh thường được nhập viện trong hai tình huống: một là suy hô hấp nặng, hai là tình trạng sốc (sốc giảm thể tích do mất dịch hoặc sốc nhiễm khuẩn). Bệnh nhân khó thở dữ dội, tím môi đầu chi, mạch nhanh nhỏ, da tái lạnh, huyết áp tụt. Chụp Xquang lồng ngực thấy phổi trắng xóa một phần hoặc toàn bộ. Những trường hợp này thường tiến triển xấu nhanh và tử vong cho dù có được hồi sức tích cực.

Chăm sóc bệnh nhân bị viêm phổi nặng.
Thầy thuốc chữa trị thế nào?
Trước một trường hợp viêm phổi ở người nghiện rượu, đương nhiên biện pháp chủ yếu là dùng kháng sinh. Nếu chưa có kết quả kháng sinh đồ, có thể sử dụng kháng sinh nhạy với các chủng vi khuẩn hay gây viêm phổi ở người nghiện rượu như đã mô tả ở trên. Các kháng sinh này bao gồm ceftazidime kết hợp với một aminoside hoặc quinolone dùng đường uống hoặc tiêm tùy theo tình trạng bệnh. Với những trường hợp nặng, thường phải điều trị tại các khoa hồi sức tích cực với các biện pháp hồi sức hô hấp, tuần hoàn, kháng sinh đường tĩnh mạch, cung cấp đủ dinh dưỡng, điều trị hội chứng cai rượu cũng như các tổn thương toàn thân do rượu gây ra.
Không có một biện pháp nào đảm bảo cho người nghiện rượu không bị viêm phổi. Điều đó có nghĩa là biện pháp dự phòng tốt nhất là tránh lạm dụng rượu hoặc bỏ nếu đã bị nghiện rượu. Đối với người nghiện rượu chưa cai được, nên chú ý tới một số biện pháp như thường xuyên làm vệ sinh răng miệng cũng như toàn thân; bỏ thuốc; ăn uống đầy đủ, vận động nhiều... để làm giảm nguy cơ bị viêm phổi. Cũng nên chú ý đến một số dấu hiệu sớm của viêm phổi ở người nghiện rượu như đang uống rượu tự nhiên bỏ rượu, mệt mỏi, tức ngực, sốt ngây ngấy... để nhanh chóng đưa bệnh nhân đi khám và điều trị kịp thời.
TS.BS. Vũ Đức Định
Clip đang được xem nhiều nhất: Mẹ bị tố dàn dựng chụp ảnh con ngoài cổng trường: “Tôi sai nhưng mọi người cần hiểu vấn đề”
Trọng tài V-League đột ngột qua đời ở tuổi 43, nguyên nhân tại sao?
Vài tháng tới, Việt Nam sẽ có sân vận động đạt chuẩn quốc tế?
-
Cầu thủ Việt Nam duy nhất 3 lần được tặng Huân chương Lao động, đó là ai?
-
Cầu thủ Nguyễn Xuân Son là ai? Cơ duyên nào đưa Nguyễn Xuân Son đến với đội tuyển Việt Nam?
-
Ronaldo tạo cơn sốt chưa từng có khi vừa gia nhập làng Youtuber, nhận nút kim cương trong chưa đầy 12h
-
Ai là người giành được tấm Huy chương Olympic đầu tiên cho Việt Nam?
Thủ tướng gửi thư chúc mừng Đội tuyển bóng đá nam U22 và Đội tuyển nữ Futsal quốc gia Việt Nam
Nga tuyên bố triển khai trực chiến trung đoàn 'độc nhất vô nhị' S-500
Thị trường xe Thanh Hóa 11 tháng năm 2025: Nhu cầu vận tải tăng trưởng mạnh, xe tải tiếp tục giữ vai trò chủ lực
Phơi bày màn kịch giả chết của người đàn bà trục lợi bảo hiểm
-
Hà Nội chi hơn 574 tỷ đồng tặng quà người có công dịp Tết Nguyên đán Bính Ngọ
-
Ông Johnathan Hạnh Nguyễn được đề nghị tặng danh hiệu Anh hùng Lao động
-
Hà Nội: Người bị thu hồi đất được ưu tiên mua nhà ở xã hội không cần bốc thăm
-
Cảnh sát giao thông mở cao điểm, kiểm tra nồng độ cồn dịp Tết Nguyên đán Bính Ngọ
-
Chậm cấp bằng, Đại học Kinh tế Quốc dân phải bồi thường cho cựu sinh viên 87 triệu đồng
-
Khởi tố đối tượng lái ô tô tông chết người ở Tây Ninh
-
Xe kinh doanh vận tải không bắt buộc phải lắp ghế an toàn cho trẻ em
-
Bắt “tổng tài” chỉ đạo đánh nhân viên quán cà phê vì bị nhắc cấm hút thuốc