Đau đầu là hiện tượng mà nhiều người gặp phải. Triệu chứng có thể tự hết sau khi nghỉ ngơi hoặc uống thuốc giảm đau. Tuy nhiên, trong một số trường hợp, đau đầu là dấu hiệu cảnh báo của các bệnh nghiêm trọng hơn.
|
|
|
Thanh niên 29 tuổi bị đau đầu nhưng chủ quan, cuối cùng nguy kịch
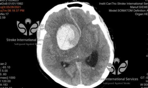
TS Trần Chí Cường – Giám đốc BV đa khoa quốc tế Cần Thơ chia sẻ về một trường hợp bệnh nhân nam 29 tuổi được đưa vào bệnh viện cấp cứu trong tình trạng đau đầu dữ dội, hôn mê sâu. Người nhà cho biết, trước đó, bệnh nhân đã bị đau đầu và đi khám uống thuốc nhưng không đỡ. Theo bác sĩ, bệnh nhân có một túi phình mạch máu não khổng lổ, kích thước lên tới 5cm (tương đương với kích thước của một quả chanh). Túi phình bị vỡ khiến bệnh nhân lâm vào nguy kịch.

Túi phình mạch máu của bệnh nhân có kích thước lên tới 5cm.
TS cường cho biết, trong cuộc sống, hầu như ai cũng từng bị đau đầu. Đây là dấu hiệu thông thường có thể hình thành do buồn bực, stress, áp lực công việc, cuộc sống... Đau đầu kiểu này không phải là bệnh lý.
Đau đầu do mất ngủ, căng thẳng, rượu bia quá nhiều dẫn tới ngày hôm sau bị nhức đầu thì chỉ cần nghỉ ngơn, cơn đau sẽ dứt.
Trường hợp đau đầu bệnh lý tiềm ẩn là đau đầu do rối loạn chức năng của cơ thể hư đau đầu migraine, đau đầu do nhiễm trùng (viêm màng não, sốt cao) đau đầu do tăng huyết áp lên từ 150 trở lên khiến bệnh nhân choáng váng, nôn ói.
8 cơn đau đầu cảnh báo bạn có thể là bệnh nguy hiểm
Tiến sĩ Praveen Gupta, từ Viện nghiên cứu thần kinh Fortis Memorial Research Institute (Ấn Độ) chỉ ra 8 kiểu đau đầu mà bạn không nên chủ quan.
1. Đau đầu đột ngột, dữ dội
Nếu bạn gặp một cơn đau đầy dữ dội xảy ra lần đầu hoặc mới xuất hiện gần đây, đó có thể là dấu hiệu cho thấy sự thay đổi bên trong não. Bác sĩ Gupta cho biết các hiện tượng chảy máu não đột ngột bên trong não hay chảy máu dưới màng não, tắc nghẽn bên trong dây thần kinh não, hoặc sưng phù bên trong não có thể gây ra những cơn đau đầu đột ngột như vậy.
2. Đau đầu nghiêm trọng kèm cứng cổ
Đây là triệu chứng điển hình của xuất huyết não, trong đó một chỗ phình của động mạch hoặc một điểm yếu trong động mạch bị vỡ khiến máu chảy bên trong não. Máu kích thích màng não (phần màng bao quanh não và tủy sống) và khiến cổ bị cứng. Trường hợp này cần được cấp cứu ngay và có thể chữa trị được nếu chẩn đoán kịp thời.

3. Đau đầu kèm theo cảm giác tê
Đau đầu đi kèm với cảm giác tê ở bất cứ phần nào của cơ thể có thể là dấu hiệu của việc một phần nào đó trong não bị sưng phù, gây cản trở đến hoạt động bình thường của một phần cơ thể.
4. Đau đầu nghiêm trọng một bên, nôn mửa và chảy nước mắt
Hiện tượng này xảy ra là do đau nửa đầu kịch phát. Nó giống như chứng đau nửa đầu thông thường nhưng có thể đi với biểu hiện buồn nôn, nôn, chảy nước mắt. Kiểu đau đầu này có thể được kích hoạt bởi một số thực phẩm, do nhiệt độ thay đổi, do tập thể dục...
5. Đau đầu kèm đau cổ và mặt
Đau nửa đầu có thể kèm theo đau nửa mặt do đau dây thần kinh số 5. Ngoài ra, đau đầu với cảm giác đau buốt nghiêm trọng, đổ mồ hôi và tê mặt cũng có thể chỉ ra rối loạn chức năng tự chủ (tức là rối loại các chức năng kiểm soát hoạt động vô thức và điều chỉnh nhịp tim, tiêu hóa, hô hấp, phản ứng con ngươi, tiểu tiện...).
6. Đau đầu kèm buồn nôn, nôn và nhạy cảm với ánh sáng và âm thanh
Tiến sĩ Praveen Gupta chi biết, nếu tình trạng đau đầu này đã xảy ra trong vài tháng hoặc vài năm thì chủ yếu là do chứng đau nửa đầu. Tuy nhiên, nếu bạn mới gặp tình trạng này trong thời gian gần gây, hãy đi kiểm tra ngay vì nó có thể liên quan đến các rối loạn nghiêm trọng hơn.
7. Đau đầu kèm các vấn đề về thị lực
Đó là dấu hiệu cảnh báo dây thần kinh từ mắt đến não có thể đang bị chèn ép, làm tăng áp lực trong mắt hoặc trong đấu. Nó được gọi là hội chứng tăng áp lực nội sọ. Tiến sĩ Gupta cho biến, hội chứng này xảy ra phổ biến ở phụ nữ lớn tuổi hoặc do sưng hoặc khối u, hoặc nhiễm trùng hay viêm trong não.
8. Nhức đầu kèm theo sốt
Nếu bạn bị nhức đầu kèm sốt nhưng không phải do cảm cúm và có hiện tượng giảm cân thì nên cẩn trọng. Đó có thể là dấu hiệu cho thấy một phần nào đó của não có thể không hoạt động đúng. Khi đó, bạn cần được thăm khám và chẩn đoán bệnh ngay để được điều trị kịp thời.
Nguồn: http://www.khoevadep.com.vn/8-kieu-dau-dau-la-do-benh-nguy-hiem-lien-quan-den-mach-mau-nao-khong-the..
Clip đang được xem nhiều nhất: Mẹ bé gái 12 tuổi bị bạo hành, xâm hại tình dục ở Hà Nội: 'Vớ được cái gì ở ngoài đường là đánh nó bằng cái đấy'
Bộ Y tế khuyến cáo phòng, chống ảnh hưởng của ô nhiễm không khí tới sức khỏe
Gần 20% người trưởng thành Việt Nam bị thừa cân, béo phì? Đâu là nguyên do
Đột nhập nhà dân lấy trộm gần 1 tỷ đồng
Xesaigon.vn cập nhật bảng giá thuê xe du lịch TPHCM minh bạch trong từng khoản phí
Hà Nội chi hơn 574 tỷ đồng tặng quà người có công dịp Tết Nguyên đán Bính Ngọ
Ông Johnathan Hạnh Nguyễn được đề nghị tặng danh hiệu Anh hùng Lao động
-
Hà Nội: Người bị thu hồi đất được ưu tiên mua nhà ở xã hội không cần bốc thăm
-
Cảnh sát giao thông mở cao điểm, kiểm tra nồng độ cồn dịp Tết Nguyên đán Bính Ngọ
-
Chậm cấp bằng, Đại học Kinh tế Quốc dân phải bồi thường cho cựu sinh viên 87 triệu đồng
-
Khởi tố đối tượng lái ô tô tông chết người ở Tây Ninh
-
Xe kinh doanh vận tải không bắt buộc phải lắp ghế an toàn cho trẻ em
-
Bắt “tổng tài” chỉ đạo đánh nhân viên quán cà phê vì bị nhắc cấm hút thuốc
-
Chỉ đạo mới của TP.HCM sau vụ cháy 4 người tử vong
-
Bộ Y tế khuyến cáo phòng, chống ảnh hưởng của ô nhiễm không khí tới sức khỏe