Nữ bệnh nhân tiêm filler làm đẹp tại tiệm tóc, không ngờ xảy ra sự cố nghiêm trọng.
|
|
|
Bệnh viện Đa khoa Hùng Vương cho biết, bệnh nhân nữ đến thăm khám sau tiêm filler xoá rãnh mũi má tại tiệm tóc. Tuy nhiên, trong quá trình làm đẹp, người bệnh gặp sự cố gãy kim tiêm, khiến đầu kim cắm sâu vào má.
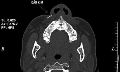
Sau khi thực hiện chụp CT scanner, các bác sĩ nhận thấy hình ảnh dị vật khoảng 1cm, vị trí phần mềm cánh mũi phải, chỉ định thủ thuật lấy dị vật. Sau 10’, đầu kim được lấy ra từ vùng má bệnh nhân.
Ảnh chụp CT scanner
Bác sĩ khuyến cáo, làm đẹp là nhu cầu chính đáng và bình thường của tất cả mọi người, đặc biệt là chị em phụ nữ, tuy nhiên cần làm đẹp an toàn, tại các cơ sở y tế có bác sĩ chuyên khoa thẩm mỹ uy tín.
Các bác sĩ liên tục cảnh báo tai biến do tiêm filler, nhiễm trùng sau mổ hoặc chảy máu phẫu thuật nâng ngực, nâng mông. PGS.TS Nguyễn Hồng Hà, Trưởng khoa Phẫu thuật Hàm mặt tạo hình Thẩm mỹ, Bệnh viện Hữu nghị Việt Đức cho biết, các cơ sở "tiêm lậu" có xu hướng "nở rộ". Bệnh nhân già hóa (độ tuổi 45 - 50) tin lời quảng cáo và tìm đến các spa, tiệm cắt tóc để "tiêm dạo".
Bác sĩ Hà cũng khuyến cáo trong trường hợp không may xảy ra tai biến khi làm đẹp, cần cố gắng đưa bệnh nhân đến bệnh viện có chuyên khoa phối hợp để được cấp cứu đa chuyên khoa trong thời gian sớm nhất có thể.
Nguồn: http://nhipsongviet.toquoc.vn/canh-bao-tiem-filler-tai-tiem-toc-gay-kim-tiem-khien-toan-bo-kim-nam-t..
Clip đang được xem nhiều nhất: Mẹ bị tố dàn dựng chụp ảnh con ngoài cổng trường: “Tôi sai nhưng mọi người cần hiểu vấn đề”
Không khí lạnh tăng cường, Bắc Bộ chuyển rét
Phạt nặng hành vi mạo danh tài khoản giao thông, thu tiền vé sai quy định
MacBook Pro M5 xử lý dựng video 4K/8K có mạnh không? Benchmark dành cho editor
TP.HCM siết nợ lương, nợ bảo hiểm trước Tết Bính Ngọ 2026
Bộ Nội vụ đề xuất nghỉ Tết Dương lịch 2026 kéo dài 4 ngày
Thị trường xe Thanh Hóa 11 tháng năm 2025: Nhu cầu vận tải tăng trưởng mạnh, xe tải tiếp tục giữ vai trò chủ lực
-
Phơi bày màn kịch giả chết của người đàn bà trục lợi bảo hiểm
-
Hà Nội chi hơn 574 tỷ đồng tặng quà người có công dịp Tết Nguyên đán Bính Ngọ
-
Ông Johnathan Hạnh Nguyễn được đề nghị tặng danh hiệu Anh hùng Lao động
-
Hà Nội: Người bị thu hồi đất được ưu tiên mua nhà ở xã hội không cần bốc thăm
-
Cảnh sát giao thông mở cao điểm, kiểm tra nồng độ cồn dịp Tết Nguyên đán Bính Ngọ
-
Chậm cấp bằng, Đại học Kinh tế Quốc dân phải bồi thường cho cựu sinh viên 87 triệu đồng
-
Khởi tố đối tượng lái ô tô tông chết người ở Tây Ninh
-
Xe kinh doanh vận tải không bắt buộc phải lắp ghế an toàn cho trẻ em